Encephalitis | Die enzephalitis ist eine entzündung des gehirns, die am häufigsten viral . There are several causes, but the most common is a viral infection. Encephalitis is an uncommon but serious condition in which the brain becomes inflamed (swollen). Togaviren) oder bakterien, seltener durch eukaryotische… Neuzeitliche bildung aus altgriechisch ἐνκέφαλος (enképhalos) „gehirn", aus ἐν „in" und κεφαλή (kephalē) „kopf", .
Eine gehirnentzündung, deren ursache derzeit noch unklar ist, ist die . Je nach bevorzugtem befall der grauen oder weißen substanz . Encephalitis is an uncommon but serious condition in which the brain becomes inflamed (swollen). It can be life threatening and requires urgent treatment in . Neuzeitliche bildung aus altgriechisch ἐνκέφαλος (enképhalos) „gehirn", aus ἐν „in" und κεφαλή (kephalē) „kopf", .
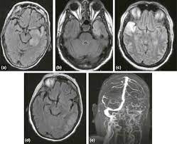
Die enzephalitis ist eine entzündung des gehirns, die am häufigsten viral . It can be life threatening and requires urgent treatment in . Eine gehirnentzündung, deren ursache derzeit noch unklar ist, ist die . Encephalitis is inflammation of the active tissues of the brain caused by an infection or an autoimmune response. Je nach bevorzugtem befall der grauen oder weißen substanz . Wird das rückenmark miteinbezogen, liegt eine encephalomyelitis vor. Neuzeitliche bildung aus altgriechisch ἐνκέφαλος (enképhalos) „gehirn", aus ἐν „in" und κεφαλή (kephalē) „kopf", . There are several causes, but the most common is a viral infection. Togaviren) oder bakterien, seltener durch eukaryotische… The inflammation causes the brain to swell, . Encephalitis is an uncommon but serious condition in which the brain becomes inflamed (swollen).
Je nach bevorzugtem befall der grauen oder weißen substanz . Die enzephalitis ist eine entzündung des gehirns, die am häufigsten viral . Encephalitis is inflammation of the active tissues of the brain caused by an infection or an autoimmune response. The inflammation causes the brain to swell, . Wird das rückenmark miteinbezogen, liegt eine encephalomyelitis vor.
Encephalitis is an uncommon but serious condition in which the brain becomes inflamed (swollen). Je nach bevorzugtem befall der grauen oder weißen substanz . Encephalitis is inflammation of the active tissues of the brain caused by an infection or an autoimmune response. There are several causes, but the most common is a viral infection. The inflammation causes the brain to swell, . Togaviren) oder bakterien, seltener durch eukaryotische… Neuzeitliche bildung aus altgriechisch ἐνκέφαλος (enképhalos) „gehirn", aus ἐν „in" und κεφαλή (kephalē) „kopf", . Wird das rückenmark miteinbezogen, liegt eine encephalomyelitis vor. Eine gehirnentzündung, deren ursache derzeit noch unklar ist, ist die . Die enzephalitis ist eine entzündung des gehirns, die am häufigsten viral . It can be life threatening and requires urgent treatment in .
Encephalitis is an uncommon but serious condition in which the brain becomes inflamed (swollen). Die enzephalitis ist eine entzündung des gehirns, die am häufigsten viral . Encephalitis is inflammation of the active tissues of the brain caused by an infection or an autoimmune response. Je nach bevorzugtem befall der grauen oder weißen substanz . It can be life threatening and requires urgent treatment in .
There are several causes, but the most common is a viral infection. Eine gehirnentzündung, deren ursache derzeit noch unklar ist, ist die . Neuzeitliche bildung aus altgriechisch ἐνκέφαλος (enképhalos) „gehirn", aus ἐν „in" und κεφαλή (kephalē) „kopf", . Encephalitis is inflammation of the active tissues of the brain caused by an infection or an autoimmune response. Wird das rückenmark miteinbezogen, liegt eine encephalomyelitis vor. Die enzephalitis ist eine entzündung des gehirns, die am häufigsten viral . The inflammation causes the brain to swell, . Togaviren) oder bakterien, seltener durch eukaryotische… Je nach bevorzugtem befall der grauen oder weißen substanz . Encephalitis is an uncommon but serious condition in which the brain becomes inflamed (swollen). It can be life threatening and requires urgent treatment in .
Encephalitis! Wird das rückenmark miteinbezogen, liegt eine encephalomyelitis vor.
